Teeth Cleaning
Teeth Cleaning & Polishing (Scaling)
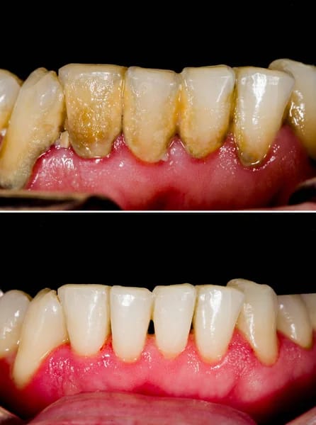
Professional cleaning removes plaque, tartar, and stains, preventing gum disease and bad breath while keeping your smile fresh and bright.
📅 Recommended: Every 6 months for best results.

Scaling and Polishing by Dr Mubeen at Braces and Faces Dental Clinic



Transform Your Smile with
Visit Us & Transform Your Smile!
Clinic Address: Shop #1, D-12, Naveed Cottages, Block 17, Gulistan-e-Johar, Karachi
Book an Appointment or Get Expert Advice Anytime:
0310-8748786
Clear. Comfortable. Convenient.
- Email: bracesandfaces98gmail.com
- Website: bracesandface.com
- Clinic Hours: Monday – Saturday: 11:00 AM – 10:00 PM
Get Started
With Your Perfect Smile!
